Oral medicine
Dr Mike Wyndhamis a GP in a suburban practice in Edgware MiddlesexHe has always been a keen photogr...
Dr Mike Wyndhamis a GP in a suburban practice in Edgware MiddlesexHe has always been a keen photographer, and has been taking medical photographs for more than 25 years. He has been a regular contributor to the GP press and his work has also appeared in the British Medical Journal, The Pharmaceutical Journal and various medical text books
Many conditions affecting the mouth lie at the interface between medicine and dentistry, and thus patients with these conditions may require referral to a dental surgeon for treatment, or conversely be referred back to the GP practice by a dentist. Practice nurses should be particularly alert to lesions which may be malignant, as late detection of many mouth cancers is associated with a mortality rate of more than 50%
SQUAMOUS CELL CARCINOMA TONGUE
In 2007, cancer of the tongue was twice as common in men as in women. Smoking or the chewing of tobacco (including paan and gutka) are strongly implicated with its development. Alcohol consumption is also an aetiological factor, particularly of distilled spirits such as whisky, vodka or rum. Human papillomavirus, which may be transmitted via oral sex, has been detected in pre-malignant as well as malignant lesions. Leukoplakia, which is usually encountered after the age of 40 years, is a pre-malignant lesion presents as a white patch and so any isolated white area that cannot be diagnosed on visual inspection should be referred to an oral surgeon.

GEOGRAPHIC TONGUE
This condition is also known as benign migratory glossitis as the appearance appears to continually change. The condition manifests as irregular raised patches with a border resembling the appearance of a map. It can occur in any age but more commonly affects adult women. It is associated with diabetes, atopic conditions and psoriasis. The condition may be symptom free, but some patients may experience a burning sensation which can be worsened by the consumption of spicy foods. Symptoms may be hard to treat, but steroids may help — hydrocortisone pellet or the application of beclomethasone nasal spray (unlicensed use).

RANULA
The word ranula takes its origin from the Latin 'rana' meaning little frog. The condition is a mucocoele in the floor of the mouth. It most commonly develops in people between the age of 10-20 years, and results from the extravasation of mucous — usually from the sublingual glands — into the surrounding soft tissues. The problem may relate to trauma but often there is no known precipitating factor. A swelling may be felt in the floor of the mouth. It may disappear spontaneously, which is more likely in children. If aspirated, recurrence is common and the most successful surgical method is complete excision, including resection of the sublingual gland.

LICHEN PLANUS
Oral lichen planus manifests as a raised white rash on the buccal mucosa. In this image there are plaques but sometimes there may be striae (Wickham), ulcers, papules or redness. The condition may be associated with skin manifestations of the condition and 25% women will develop genital lesions whereas less than 5% men will be affected in this way. Drugs such as beta-blockers, ACE inhibitors and NSAIDs may cause a lichenoid eruption. Symptoms may range from none to pain. For the latter, topical steroids may be helpful. Follow-up is important to exclude the small risk of the development of cancer.

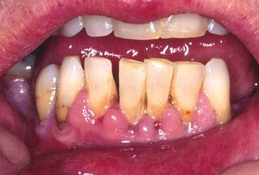
GINGIVAL ENLARGEMENT
The presence of plaque and resultant inflammation may lead to gum enlargement. It may also be induced by drugs — for example, phenytoin, ciclosporin and calcium-channel blockers (in this case amlodipine). In pregnancy, where there is plaque disease, gum change may occur. Systemic illness, e.g. vitamin C deficiency, leukaemia may be associated with gingival enlargement. Treatment requires intervention by a dental hygienist to remove plaque from below the gum line.

APHTHOUS ULCER
Aphthous ulcers are common — 20% of the population will experience one in their life-time. Minor aphthous ulcers are less than 1cm in diameter, and have a yellow base with a red border. They can be intensely painful with up to five occurring at a time, lasting for about a week. Major aphthous ulcers are greater than 1 cm in diameter and last from 2 weeks to several months and may heal with a scar. Treatment is symptomatic with barrier applications such as carmellose paste, or anti-imflammatory with the use of hydrocortisone pellets.

Related articles
View all Articles