Hand and wrist
Dr Mike Wyndham is a GP in a suburban practice in Edgware Middlesex. He has always been a keen phot...
Dr Mike Wyndham is a GP in a suburban practice in Edgware Middlesex. He has always been a keen photographer, and has been taking medical photographs for more than 25 years. He has been a regular contributor to the GP press and his work has also appeared in the British Medical Journal, The Pharmaceutical Journal and various medical text books
Dermatological conditions affecting the hands can cause patients to become very self-conscious, in the same way as those affecting the face. Many of the conditions pictured here are not only unsightly but painful or intensely itchy. However, most respond well to treatment but sometimes patience and persistence are required before symptoms resolve
KERATOACANTHOMA
This rapidly growing skin lesion develops in sun-exposed skin usually on the arms and face. The lesions are round and grow into a dome shape. The centre may have a keratin plug (as shown in the picture), which may fall off to leave a crater. If left, they will resolve spontaneously. However, the appearance of an ulcerated skin lesion growing rapidly raises the possibility of a squamous cell carcinoma (SCC) and the lesion is usually removed. Under the microscope, the histology of both lesions looks similar and so the clinical information is important. The standard treatment is removal by excision or curettage.

VIRAL WART
Viral warts are caused by the human papilloma virus (usually type 2 on the hand) and may be contracted by direct contact, or by sexual contact. Swimming pools are also a common source of contagion for viral warts, which grow with a hard, raised surface with black dots visible. They may occur as a result of the Koebner phenomenon where an area of trauma may be replaced by warts. Warts may disappear spontaneously, usually after a wait of at least 6 months. On the hands especially, their unsightly appearance is a reason for treatment. Standard treatment is the careful application of a paint such as those containing salicylic and lactic acids — wipe it off if any product gets onto normal skin — or cryotherapy. However, in my experience, the majority of children under 10 years do not like cryotherapy. I'm unclear if this is because of the appearance of a stream of liquid nitrogen or the pain that it may induce.

HERPES ZOSTER
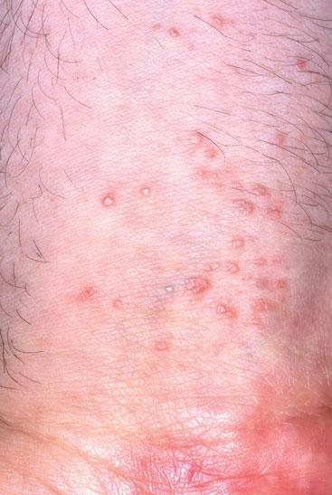
Herpes zoster is the emergence of the chickenpox virus that has been lying dormant in the dorsal root ganglia of the spinal cord. It more often appears on the trunk — it is slightly unusual to find it on the hands. The appearance of the rash may be preceded by the development of pain for no obvious reason. Then a few days later a vesicular eruption develops. This may be associated with a reddish background as shown in the picture. The pain, known as post-herpetic neuralgia may persist once the rash has resolved. It may be treated with conventional analgesia together with low dose amitriptyline. If the patient presents within 72 hours of the appearance of the rash, then they should be offered an anti-viral agent such as aciclovir. This treatment is helpful in reducing acute pain and may help to prevent the neuralgia.

ACUTE ECZEMA
The involvement of the hand in this child was part of an extensive acute eczema. The bright red area visible on the wrist is typical of acute eczema. On the palm is an area of creased skin which looks more like acute on chronic eczema. There is widespread cracking of the skin, probably as a result of dryness along with scratching. On the tip of the little finger is what appears to be a golden crusted area. This is highly suggestive of Staphylococcus aureus, and a combination ointment containing steroid/antibacterial such as Fucidic acid/betamethasone is required. Application of an emollient is essential to improve the dryness of the skin.

LICHEN PLANUS
Lichen planus is a symmetrical eruption that affects the legs, wrists, forearms, genitalia and buccal mucosa. The commonest place for it to commence is on the limbs and it may spread quickly. It is itchy, and manifests as small flat lesions a few millimetres in size that develop a purplish colour. As with viral warts, it may show the Koebner phenomenon. The rash may take several months to clear, with some people still suffering at 18 months. If the skin is itchy then application of a moderately potent steroid is recommended. Complications include a scarring alopecia, and nail changes — pitting and longitudinal ridging.

PEMPHIGOID
Pemphigoid is one of the primary bullous eruptions along with pemphigus and dermatitis herpetiformis. It usually occurs in the elderly. It is an auto-immune condition with antibodies in the blood stream detectable in many patients. The tense blisters may contain clear fluid but may sometimes be haemorrhagic. The eruption may be preceded by an itchy rash that may be appear to be eczematous or urticarial. Where the rash is localised it may be treated with a very potent steroid application such as clobetasol. If it is generalised then oral steroids will be required to bring it under control.

Related articles
View all Articles